Diagnostik

Für eine effiziente Therapie ist eine gründliche klinische Untersuchung, Befragung und Diagnostik erforderlich.
Nach Auswertung der diagnostischen Unterlagen erstellen wir Ihren individuellen Behandlungsplan und können die Kosten kalkulieren. Zu den diagnostischen Unterlagen gehören:


seitliche Röntgenaufnahme (FRS) zur Beurteilung
der Zahn- und Kieferlage im Schädel und
Erstellung einer Wachstumsprognose


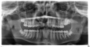
Röntgenbilder zur Übersichtsdarstellung aller Zähne und Zahnanlagen (OPG)

Modelle