Frühbehandlung
für Patienten ab dem 4. Lebensjahr.
Es werden Hemmnisse für das Kieferwachstum und den Zahndurchbruch beseitigt, um die natürliche Entwicklung von Sprache und Kaufunktion zu ermöglichen. Unphysiologisch aus dem Mund herausragende Zähne werden korrigiert und ungünstigen Umwelteinflüssen entzogen.

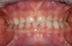
Kreuzbiss |

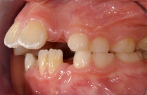
vergrößerte sagittale Stufe |

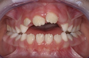
offener Biss |

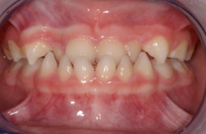
progene Verzahnung |
|